uCT Orion Elite
Intelligent Scans, Elevated Insights

The uCT Orion Elite brings benefits to everyone. Its intelligent workflow enhances scanning and diagnostic efficiency for technologists, while at the same time delivering comprehensive patient-centered care. With advanced hardware that meets a wide range of clinical needs, even challenging scans are performed with ease. AI integration elevates image quality to a new standard, giving radiologists greater diagnostic confidence. Designed for operational efficiency, the uCT Orion Elite helps lower daily costs while delivering lasting value.

Intelligent Workflow for Everyone


An intelligent scanning workflow brings benefits to both operators and patients. For operators, they can utilize technologies such as automatic positioning and parameter adjustment to perform scans efficiently and easily. For patients, the uCT Orion Elite employs AI to proactively detect potential imaging problems during scanning, delivering comprehensive care.

Efficiency-Driven Intelligent Scanning

Easy
Positioning

Based on 21 anatomical landmark detections, uAI Vision enables automatic identify the appropriate scan position based on the selected protocol. The technologist only needs a single click to position the patient.

Easy Scan Planning

uCT Orion Elite leverages deep learning to streamline workflow. Before the scan begins, it continuously monitors patient movement in real time to appropriately identify the starting line and scan range.

Easy Dose Control

uCT Orion Elite optimizes dose according to patient size, scan region, and exam type, recommending the appropriate kV and automatically modulating mA. AI-based organ recognition further enables individualized dose control for chest–abdomen scans.

Easy Post-processing

uCT Orion Elite offers a comprehensive suite of console-integrated post-processing applications that streamline workflow by automating repetitive steps and enhancing efficiency across clinical scenarios.

Patient-Centered Intelligent Scanning

The uCT Orion Elite's uAI Vision features two cameras, enabling real-time patient monitoring from two distinct views: top-down and close-up. It continuously monitors the patient's status throughout the scan, helping technologists quickly identify issues.

The system uses uAI Vision to proactively identify areas at risk of patient-gantry collisions. Once the risk of a patient-gantry collision is detected, the system promptly signals the technologist before table movement, thereby reducing the likelihood of collisions between the patient and the gantry.

This algorithm is designed for intracerebral hemorrhage (ICH) detection. It provides technologists with real-time reminders when potential ICH is detected, enabling clinicians to maintain heightened vigilance and preserve valuable time for patient assessment.

*Registered by United Imaging Intelligence

Enhanced Monitoring of Patient Scan Status

The uCT Orion Elite's uAI Vision features two cameras, enabling real-time patient monitoring from two distinct views: top-down and close-up. It continuously monitors the patient's status throughout the scan, helping technologists quickly identify issues.

Patient-gantry Collision Check

The system uses uAI Vision to proactively identify areas at risk of patient-gantry collisions. Once the risk of a patient-gantry collision is detected, the system promptly signals the technologist before table movement, thereby reducing the likelihood of collisions between the patient and the gantry.

AI-based Brain Hemorrhage Detection*

This algorithm is designed for intracerebral hemorrhage (ICH) detection. It provides technologists with real-time reminders when potential ICH is detected, enabling clinicians to maintain heightened vigilance and preserve valuable time for patient assessment.

*Registered by United Imaging Intelligence

Unlocking Clinical Potential for Expanded Applications


Robust and reliable hardware supports the uCT Orion Elite across diverse clinical applications. Its stable system makes routine scans efficient and smooth while handling complex scenarios with ease. With powerful performance, it meets the demands of varied clinical applications, delivering exceptional value beyond expectations.

Handle Routine Scans with Ease

The high-performance hardware provides robust support for routine scanning. Utilizing the 80 slices Z-Detector's 0.55mm slice thickness and high sampling rate, the system produces high-quality images with sharp detail visualization. The advanced tube cooling design is well-suited for high-throughput scanning.

Turn challenging into routine

High tube heat dissipation enables the tube to sustain prolonged exposure during large-range scans, preventing interruptions from heat accumulation. With a maximum tube input power of 48 kW, the system delivers high-quality imaging even in demanding clinical scenarios, such as examinations of obese patients.

Release more clinical potential

uCT Orion Elite unlocks greater clinical potential. It supports ECG-gated coronary artery calcium score * for early heart disease assessment and enables dual-energy scanning* for visualization and compositional analysis of gout tophi. In addition, it offers four scan modes for interventional* imaging.

* Optional

AI-Driven Imaging for Advanced Clinical Insight


Driven by cutting-edge deep learning, AI is pushing the boundaries of CT imaging by enhancing resolution, improving contrast, and reducing artifacts. These breakthroughs enable clinicians to reveal subtle structures, broaden diagnostic insights, and make more confident decisions to improve patient outcomes.

DELTA* elevates image quality across all dimensions

DELTA(Deep Learning Trained Algorithm) attains a balance among high image quality, low radiation dose, and fast reconstruction speed - a balance that has long been deemed challenging to achieve. With this achievement, DELTA sets a new benchmark in CT imaging.

Learn more


163%*

Up to 163% LCD improvement at the same dose.

74%*

Up to 74% spatial resolution improvement at the same dose.

80%*

Up to 80% radiation dose reduction at the same low contrast detectability (LCD).

98%*

Up to 98% image noise reduction at the same dose.

*Optional
*DELTA images compared with FBP based on phantom tests. Data on file.
DELTA Reduces Image Noise and Enhances Low Contrast Detectability
  • Scan Parameter
  • kV: 120
    mAs: 190
    CTDIvol: 30.6 mGy
    Eff.Dose: 1.12 mSv
  • Recon Parameter
  • Matrix: 512 * 512
    Slice: 1.0 * 0.8 mm
    HIR: H_SOFT_B
    DL-Denoise level: 3
    WW/WL: 80/40
  • Contrast
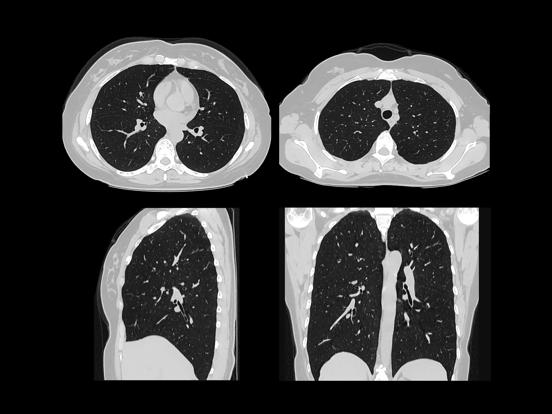
DELTA Improves Lung Texture Visualization in Low-Dose Scans
  • Scan Parameter
  • kV: 120
    mAs: 10
    Scan length: 277mm
    CTDIvol: 0.9 mGy
    Eff.Dose: 0.4 mSv
  • Recon Parameter
  • Matrix: 512 * 512
    Slice: 1.0 * 0.8 mm
    HIR: B_SOFT_B
    DL-Denoise level: 3
    WW/WL: 1400/-400
  • Contrast
DELTA Reduces Image Noise and Enhances Low Contrast Detectability
  • Scan Parameter
  • kV: 120
    mAs: 101
    CTDIvol: 8.8 mGy
    Eff.Dose: 6.3 mSv
  • Recon Parameter
  • Matrix: 512 * 512
    Slice: 1.0 * 0.8 mm
    HIR: B_VSOFT_B
    DL-Denoise level: 3
    WW/WL: 300/400
  • Contrast
DELTA Improves Visualization of Pulmonary Vessels
  • Scan Parameter
  • kV: 120
    mAs: 70
    Scan length: 249 mm
    CTDIvol: 6.1 mGy
    Eff.Dose: 2.4 mSv
  • Recon Parameter
  • Matrix: 512 * 512
    Slice: 1.0 * 0.8 mm
    HIR: B_VSOFT_B
    DL-Denoise level: 3
    WW/WL: 300/40
  • Contrast
  • 350 mgl/ml
    60 ml
    4.6ml/s
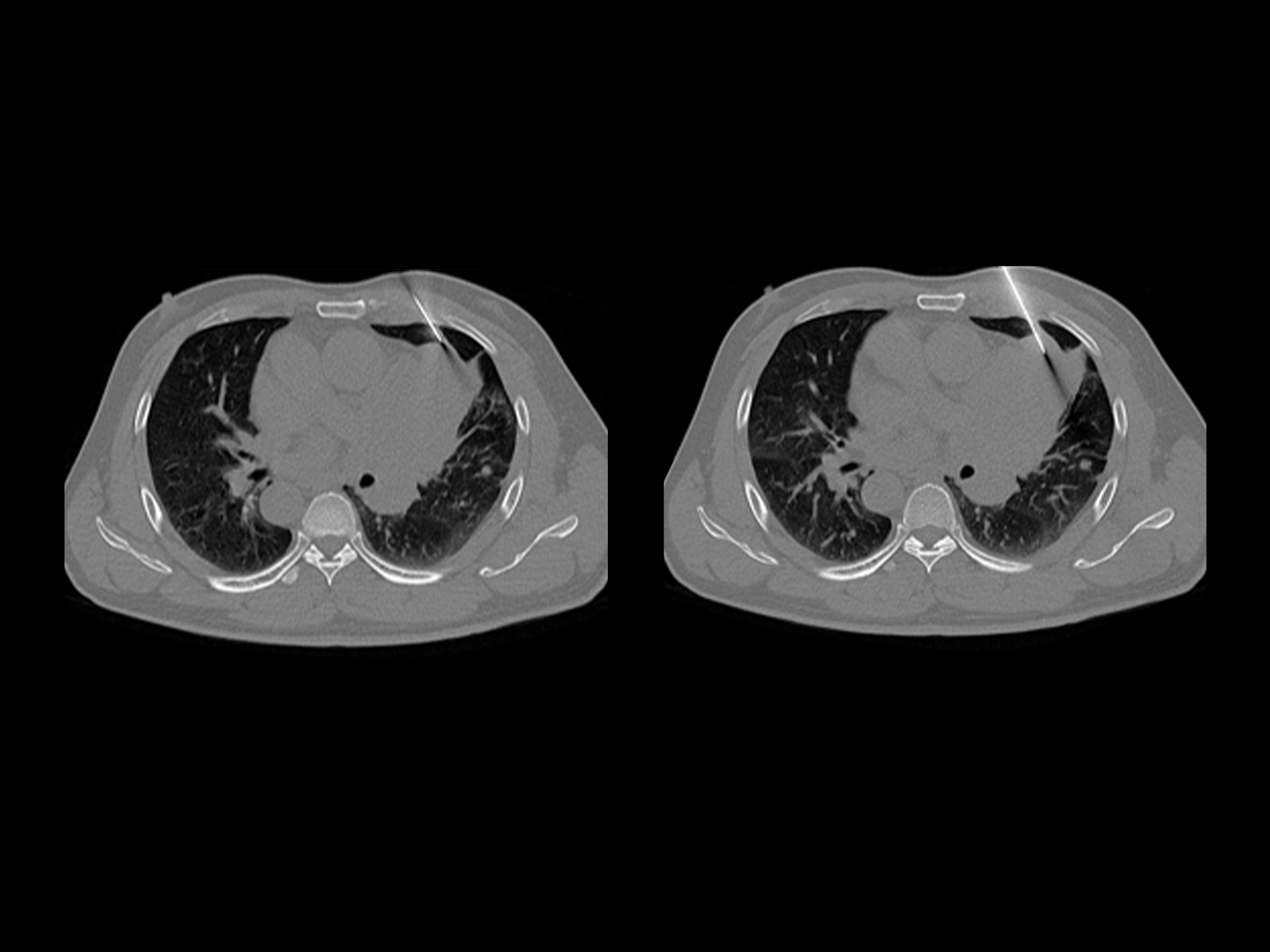
DELTA Reduces Dose without Compromising Image Quality
  • Scan Parameter
  • kV: 100
    mAs: 90
    Scan length: 581 mm
    CTDIvol: 4.7 mGy
    Eff.Dose: 4.2 mSv
  • Recon Parameter
  • Matrix: 512 * 512
    Slice: 1.0 * 0.8 mm
    HIR: B_VSOFT_B
    DL-Denoise level: 3
    WW/WL: 300/40
  • Contrast
  • 350 mgl/ml
    70 ml
    3.0 ml/s
DELTA Optimizes CT Imaging for Patients with High BMI
  • Patient BMI
  • 31.2
  • Scan Parameter
  • kV: 120
    mAs: 121
    Scan length: 618 mm
    CTDIvol: 10.6 mGy
    Eff.Dose: 9.5 mSv
  • Recon Parameter
  • Matrix: 512 * 512
    Slice: 1.0 * 0.5 mm
    HIR: B_VSOFT_B
    DL-Denoise level: 3
    WW/WL: 300/40
  • Contrast
DELTA Reduces Image Noise and Enhances Low Contrast Detectability
  • Scan Parameter
  • kV: 120
    mAs: 190
    CTDIvol: 30.6 mGy
    Eff.Dose: 1.12 mSv
  • Recon Parameter
  • Matrix: 512 * 512
    Slice: 1.0 * 0.8 mm
    HIR: H_SOFT_B
    DL-Denoise level: 3
    WW/WL: 80/40
  • Contrast
DELTA Improves Lung Texture Visualization in Low-Dose Scans
  • Scan Parameter
  • kV: 120
    mAs: 10
    Scan length: 277mm
    CTDIvol: 0.9 mGy
    Eff.Dose: 0.4 mSv
  • Recon Parameter
  • Matrix: 512 * 512
    Slice: 1.0 * 0.8 mm
    HIR: B_SOFT_B
    DL-Denoise level: 3
    WW/WL: 1400/-400
  • Contrast
DELTA Reduces Image Noise and Enhances Low Contrast Detectability
  • Scan Parameter
  • kV: 120
    mAs: 101
    CTDIvol: 8.8 mGy
    Eff.Dose: 6.3 mSv
  • Recon Parameter
  • Matrix: 512 * 512
    Slice: 1.0 * 0.8 mm
    HIR: B_VSOFT_B
    DL-Denoise level: 3
    WW/WL: 300/400
  • Contrast
DELTA Improves Visualization of Pulmonary Vessels
  • Scan Parameter
  • kV: 120
    mAs: 70
    Scan length: 249 mm
    CTDIvol: 6.1 mGy
    Eff.Dose: 2.4 mSv
  • Recon Parameter
  • Matrix: 512 * 512
    Slice: 1.0 * 0.8 mm
    HIR: B_VSOFT_B
    DL-Denoise level: 3
    WW/WL: 300/40
  • Contrast
  • 350 mgl/ml
    60 ml
    4.6ml/s
DELTA Reduces Dose without Compromising Image Quality
  • Scan Parameter
  • kV: 100
    mAs: 90
    Scan length: 581 mm
    CTDIvol: 4.7 mGy
    Eff.Dose: 4.2 mSv
  • Recon Parameter
  • Matrix: 512 * 512
    Slice: 1.0 * 0.8 mm
    HIR: B_VSOFT_B
    DL-Denoise level: 3
    WW/WL: 300/40
  • Contrast
  • 350 mgl/ml
    70 ml
    3.0 ml/s
DELTA Optimizes CT Imaging for Patients with High BMI
  • Patient BMI
  • 31.2
  • Scan Parameter
  • kV: 120
    mAs: 121
    Scan length: 618 mm
    CTDIvol: 10.6 mGy
    Eff.Dose: 9.5 mSv
  • Recon Parameter
  • Matrix: 512 * 512
    Slice: 1.0 * 0.5 mm
    HIR: B_VSOFT_B
    DL-Denoise level: 3
    WW/WL: 300/40
  • Contrast
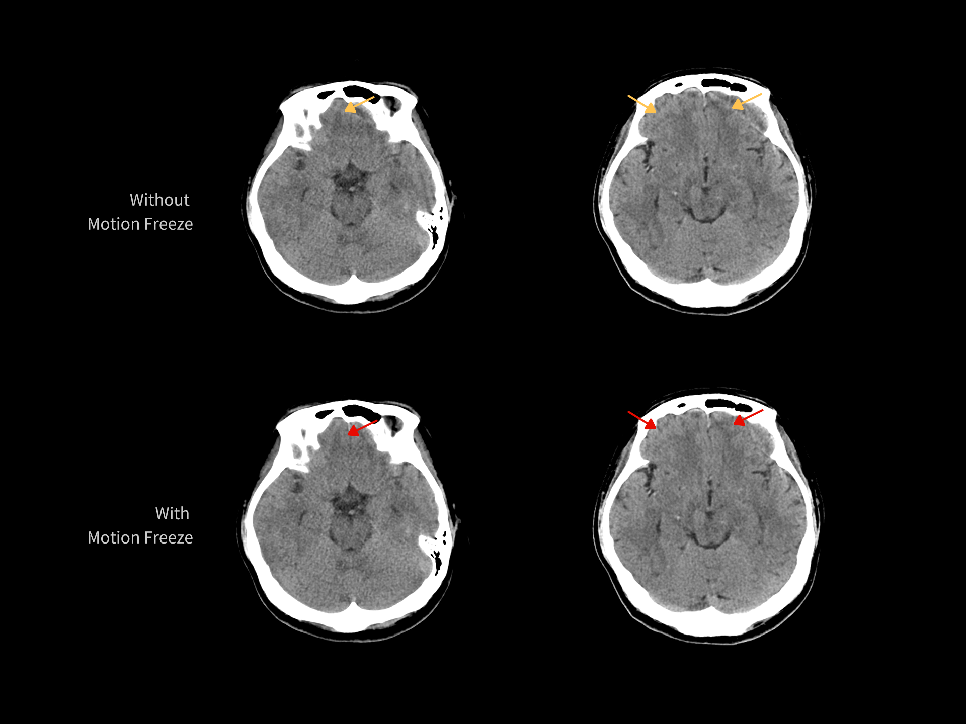
Motion Freeze: AI–Powered Head Motion Artifact Elimination for Clearer Brain Structures

Patient head movement typically involves multiple motion patterns, and no current algorithm can effectively eliminate the resulting artifacts. To establish a gold-standard dataset, the Motion Freeze algorithm simulates artifacts in the X, Y, and Z directions, including rotation, translation, oscillation, and mixed scenarios. By introducing diverse motion artifacts, this approach enables the trained network model to handle a broad spectrum of motion conditions.

Motion Freeze effectively suppresses head motion artifacts, providing a clear view of brain structures without obscuring lesions. By minimizing the need for repeated scans, it saves time, conserves resources, and avoids unnecessary radiation exposure for patients.

3D modeling of the motion pattern to restore the real clinical situation

Patient head movement typically involves multiple motion patterns, and no current algorithm can effectively eliminate the resulting artifacts. To establish a gold-standard dataset, the Motion Freeze algorithm simulates artifacts in the X, Y, and Z directions, including rotation, translation, oscillation, and mixed scenarios. By introducing diverse motion artifacts, this approach enables the trained network model to handle a broad spectrum of motion conditions.

Head motion artifacts suppression

Motion Freeze effectively suppresses head motion artifacts, providing a clear view of brain structures without obscuring lesions. By minimizing the need for repeated scans, it saves time, conserves resources, and avoids unnecessary radiation exposure for patients.

Smart System Design for Optimized Operations


The uCT Orion Elite enables optimized operations through smart system design. Its uEco Mode features energy-saving technology that reduces electricity consumption while lowering daily operating costs. When users encounter issues during scanning, remote support is available to assist them, maintaining efficient and stable operation. Leveraging these designs, the uCT Orion Elite improves operational efficiency, delivering greater value to hospitals.

During idle scanning , such as at night or on weekends, the user can enter uECO mode with one click. The uECO mode effectively reduces power consumption by partially powering down hardware components while maintaining essential functionality to ensure optimal system performance. In uECO mode, the detector remains fully operational, ensuring that its internal components are in an active and stable state. This allows the machine to quickly reach the scanning state when resumed from uECO mode, thus maintaining high-quality image quality.

The uCT Orion Elite offers Remote-related functionalities. When unexpected issues arise, users can instantly connect with service engineers for timely support. Users can also perform remote software updates, keeping the system performance optimized, enhancing operational efficiency, and unlocking the full potential of the CT.

Save More with uEco Mode

During idle scanning , such as at night or on weekends, the user can enter uECO mode with one click. The uECO mode effectively reduces power consumption by partially powering down hardware components while maintaining essential functionality to ensure optimal system performance. In uECO mode, the detector remains fully operational, ensuring that its internal components are in an active and stable state. This allows the machine to quickly reach the scanning state when resumed from uECO mode, thus maintaining high-quality image quality.

Remote Service Keeps the System Running Smoothly

The uCT Orion Elite offers Remote-related functionalities. When unexpected issues arise, users can instantly connect with service engineers for timely support. Users can also perform remote software updates, keeping the system performance optimized, enhancing operational efficiency, and unlocking the full potential of the CT.

Technical Details

Tube anode storage capacity *

3.8 MHU

Detector

Z-Detector

Number of detector rows

40

Max. slices generated per rotation

80

Range of tube current

10~400 mA

Range of tube voltage

60~140kV

Generator power

48 kW

Aperture

70 cm

Table load

250 kg

Disclaimer:
uCT Orion Elite is designed in compliance with Regulation (EU) 2017/745 and manufactured in accordance with ISO 13485, ensuring adherence to all applicable medical device safety standards, including EN 60601-1, EN 60601-2-44, EN 60601-1-2, EN 60601-1-3, and etc.
This product is intended for use by trained medical professionals only. Patients should follow the guidance and instructions provided by healthcare practitioners during operation.
The supported languages of instruction for use include: English, Russian, Spanish, Italian, Polish, German, Greek, Romanian, Hungarian, and Brazilian Portuguese, et al. Qualified users may access the instruction for use in the appropriate language via the provided link:
https://uicloud.com/uclass/docs/en-us/home
Please contact your local United Imaging Healthcare organization for further details.