Stacja diagnostyczna GRACES
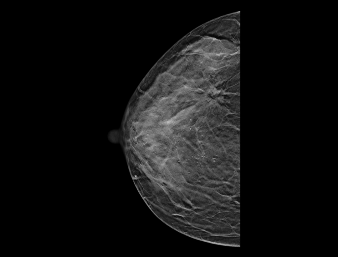
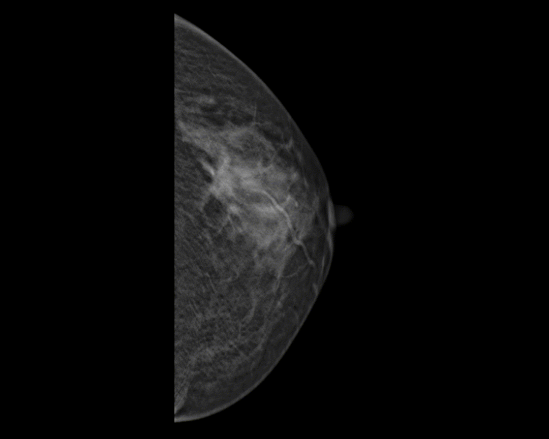
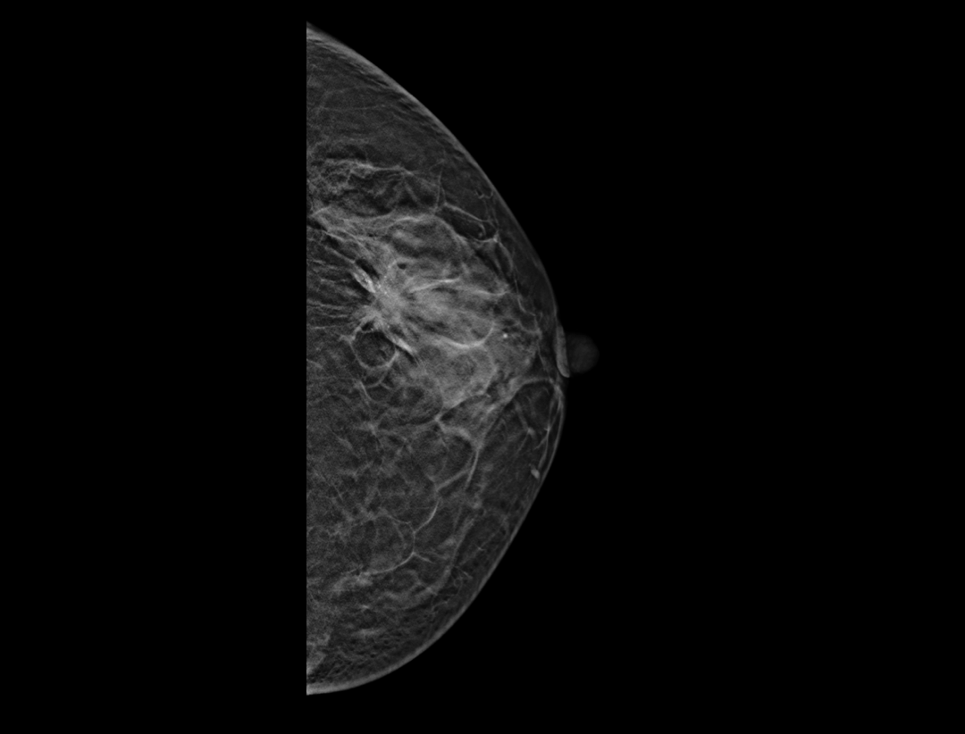
Adaptacyjne dostosowanie grubości warstwy tomosyntezy zapewnia szczegółowe obrazowanie przestrzenne zmian chorobowych i skupisk mikrozwapnień.
Wiele konfiguracji protokołów wyświetlania i wszechstronne narzędzia sprawiają, że przeglądanie mammografii cyfrowej jest bardziej elastyczne i uproszczone. Narzędzie lokalizatora pomaga użytkownikowi wskazać pozycje warstw tomosyntezy wewnątrz obrazu 3D.
Hybrydowe protokoły wyświetlania pozwalają na synchroniczne wyświetlanie obrazów 2D i warstw tomosyntezy w celu łatwego porównania. Dostępne są zarówno pogrubione warstwy (slabs), jak i widok płaszczyzny.
*Opcjonalnie

