Rezonans magnetyczny 1,5 T z systemem uCS®

Jako pierwszy z systemów 1,5 T, uMR® 588 jest wyposażony w platformę obrazowania uCS®2.0, która umożliwia szybkie obrazowanie całego ciała, dynamiczne wzmocnienie wielofazowe skanowania jamy brzusznej (2 s/fazę) oraz obrazowanie dyfuzyjne o wysokiej rozdzielczości, dzięki czemu system 1,5 T można wykorzystywać do skanowania całego ciała z oszczędnym próbkowaniem.

Oszczędne próbkowanie

Dokładna ocena ilościowa

Inteligentne badania

Platforma uCS®2.0

Technologia obrazowania uCS®2.0

Łącząc zalety oszczędnego próbkowania, częściowej transformaty Fouriera i równoległego obrazowania, technologia ta optymalizuje akwizycję danych i rekonstrukcję obrazu, znacznie poprawiając szybkość skanowania oraz jakość obrazu.

Aplikacje uCS®2.0 do celów obrazowania

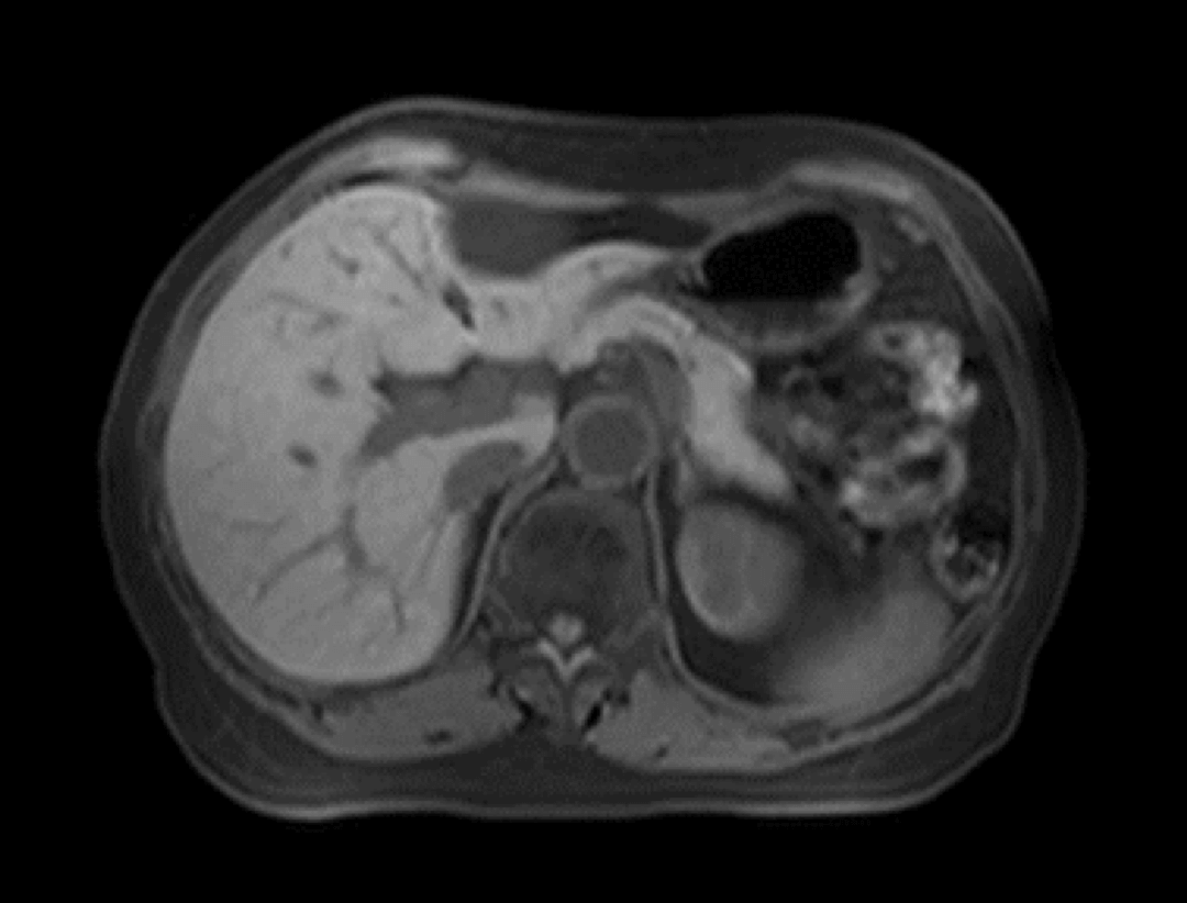
W przypadku wzmocnienia dynamicznego skanowania jamy brzusznej platforma uCS®2.0 może przyspieszyć akwizycję 16-krotnie, pozwalając wyraźnie uchwycić ciągłe dynamiczne zmiany sygnałów tkankowych.

Dokładna ocena ilościowa

MAP

Dzięki dokładnemu określeniu map czasów relaksacji T1, T2 (ocena dynamicznych procesów i obrazów) może dostarczyć danych ilościowych wymaganych w warunkach klinicznych i badaniach naukowych dla różnych chorób narządowych.

FACT

Nieinwazyjne określenie zawartości tłuszczu oraz odkładania żelaza w tkankach. Po akwizycji i obliczeniach generowane są obrazy oparte na wielu parametrach.

Wieloparametrowe obrazowanie neurologiczne

Po akwizycji można uzyskać następujące mapy parametryczne: FA, RA, ADC i kolorową FA, które odzwierciedlają prędkość oraz kierunek ruchu wody w tkankach. Wieloparametrowe obrazowanie neurologiczne może dostarczyć dokładnych informacji do celów diagnostyki chorób, takich jak zmiany istoty białej.

Spektroskopia

Spektroskopia jest nieinwazyjną metodą analizy zawartości metabolitów w żywych tkankach.

Zastosowania kliniczne

Neurologia
Angiografia
Kręgosłup
Jama brzuszna
Parametry techniczne
  • Układ magnesu
  • Układ gradientu
  • Układ RF
  • Informacje o instalacji

Magnes

 

Indukcja pola

1,5 T

Średnica otworu

60 cm

Odparowywanie czynnika kriogenicznego podczas skanowania

0% (w normalnych warunkach użytkowania)

Korekta jednorodności pola

Pasywna i aktywna

System Gradientowy

 

Maksymalna amplituda gradientu

33 mT/m

Maksymalna szybkość narastania gradientu

125 T/m/s

Tor RF

 

Liczba niezależnych kanałów odbiorczych

24, 48

Informacje dotyczące instalacji

 

Powierzchnia pomieszczenia skanowania (minimalna)

19,6 m2

Powierzchnia pomieszczenia z urządzeniami elektronicznymi (minimalna)

N. D. (długość i szerokość zależą od rzeczywistych warunków)

Powierzchnia pomieszczenia sterowniczego (minimalna)

4 m2