01
01

Zespół Takayasu

Zespół Takayasu

Zespół Takayasu to rzadka choroba. Naczynia krwionośne młodych pacjentek (poniżej 30. roku życia) wykazują procesy starzenia jak u 70-letnich kobiet. W ciężkich przypadkach choroba ta może zagrażać życiu, lecz jej przyczyna pozostaje niejasna.

Częstość występowania: 2,6/1 mln, około 90% przed 30. rokiem życia, rzadziej po 40. roku życia.

W 1908 r. japoński okulista Mikito Takayasu po raz pierwszy poinformował o przypadku tej choroby podczas dorocznego zjazdu Japońskiego Towarzystwa Okulistycznego. To właśnie on odkrył przypominający wieńce wygląd naczyń krwionośnych w siatkówkach pacjentek. Tętno w ich tętnicach promieniowych było również bardzo słabe lub wręcz niewyczuwalne. Później lekarze odkryli, że schorzenie to często występuje w krajach azjatyckich, zwłaszcza u młodych kobiet. Stąd angielska nazwa Oriental Beauty Disease, czyli „choroba orientalnej piękności”.

Naukowa nazwa to zespół Takayasu. Chodzi o reumatyczną chorobę autoimmunologiczną. Przewlekłe nieswoiste zapalenie aorty i odchodzących od niej naczyń prowadzi do zwężenia lub zablokowania tętnic, a nawet zakrzepicy. Objawy we wczesnym stadium obejmują zapalenie okołotętnicze oraz zapalenie przydanki, które następnie postępuje stopniowo w stronę środkowych i wewnętrznych warstw naczynia krwionośnego. W późnym stadium dochodzi do zniszczenia wszystkich warstw ścian naczyń krwionośnych, a głównym problemem staje się włóknienie tętnic.

Pacjentki mogą mieć objawy wynikające z niedokrwienia, takie jak gorączka, zmęczenie, utrata wagi, bóle mięśni, utrata wzroku, osłabienie lub ból w kończynach oraz słaby puls w tętnicy ramiennej lub udowej. W ciężkich przypadkach może dojść do udaru mózgu i niewydolności nerek. Ogromne znaczenie dla ukierunkowania leczenia oraz poprawy rokowań ma wczesne rozpoznanie. W porę podjęte, skuteczne leczenie może zapobiec zwłóknieniu tętnic, powstaniu tętniaka i zwężeniu lub okluzji naczyń.

02
02

Ułatwić wczesną diagnozę zespołu Takayasu

Ułatwić wczesną diagnozę zespołu Takayasu

Czynniki takie jak wysoce niejednolite objawy kliniczne, brak specyficznych przeciwciał, jednoznacznych cech obrazowych czy złotego standardu diagnozy skutkują trudnościami w diagnostyce klinicznej i terapii, co opóźnia rozpoznanie oraz leczenie dużej liczby pacjentek z zespołem Takayasu.

Gdy we wczesnym stadium nie występują zmiany morfologiczne w naczyniach, zwykłe badania obrazowe nie są wystarczająco czułe na ich zapalenie, co nie sprzyja wczesnemu rozpoznaniu tego zespołu. Wykorzystanie multimodalnego badania PET/TK oraz połączenie informacji anatomicznych i funkcjonalnych (dotyczących metabolizmu) może skutecznie uwidocznić przejawy hipermetabolizmu ścian naczyń w ich zapaleniu oraz ocenić cechy morfologiczne naczyń krwionośnych. Dysponując długim osiowym polem widzenia oraz wysoką czułością i rozdzielczością, cyfrowy system PET/TK firmy United Imaging może dodatkowo ułatwiać obrazowanie nieprawidłowego metabolizmu makronaczyniowego podczas opóźnionego skanowania, dostarczyć półilościowe wskaźniki do diagnozy zespołu Takayasu i skutecznie poprawić dokładność diagnostyczną.

03
Przypadek kliniczny
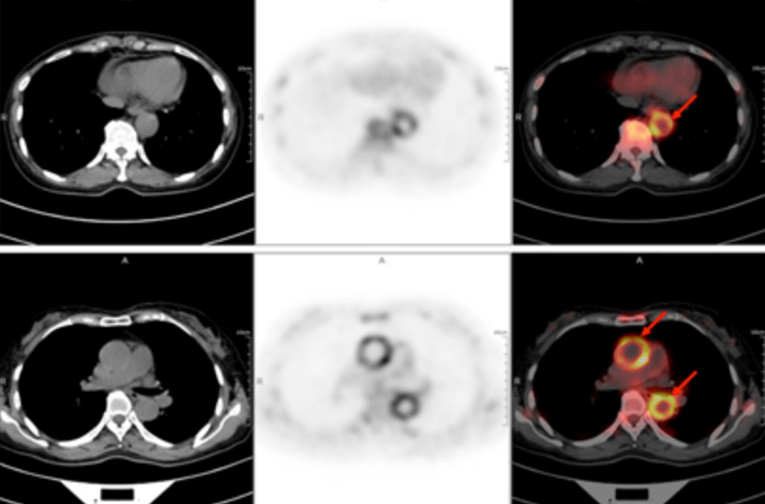
58-letnia kobieta trafiła do szpitala z powodu gorączki trwającej z przerwami od ponad 40 dni. Najwyższa zmierzona temperatura ciała wynosiła 38,9℃. Inne objawy obejmowały zmęczenie i ból stawów barkowych szczególnie nasilony po południu oraz nocą, dreszcze, krwioplucie, ból i ucisk w klatce piersiowej oraz duszności. Po dwóch tygodniach dożylnego podawania antybiotyków cefalosporynowych nie było poprawy, a gorączka się utrzymywała. W poradniach odnotowywano u pacjentki „gorączkę nieznanego pochodzenia”. W badaniu przedmiotowym nie znaleziono ewidentnych wskazówek pozwalających na diagnozę. Wyniki rutynowego badania krwi były następujące: wskaźnik sedymentacji erytrocytów w pierwszej godzinie – 72 mm; białko C-reaktywne o wysokiej czułości: 204,20 mg/l. Następnie u chorej wykonano badanie PET/TK całego ciała z zastosowaniem znacznika F-FDG (fluorodeoksyglukozy) w celu znalezienia przyczyny gorączki nieznanego pochodzenia. 
W obrazach PET/TK w kilku lokalizacjach (obustronna tętnica szyjna wewnętrzna, tętnica szyjna wspólna, pień ramienno-głowowy, obustronne tętnice podobojczykowe i pachowe, aorta piersiowa, aorta brzuszna, obustronna tętnica biodrowa wspólna, tętnica biodrowa wewnętrzna, tętnica biodrowa zewnętrzna i tętnica udowa) wystąpiło pogrubienie ściany ze zwiększonym metabolizmem glukozy, co uznano za spowodowane zmianami zapalnymi. Na podstawie wywiadu lekarskiego, objawów klinicznych, badania i wyników badań obrazowych u pacjentki rozpoznano zespół Takayasu. Po zastosowaniu standardowego leczenia przeciwzapalnego temperatura ciała spadła, a stan pacjentki uległ poprawie. 
04
04

Podsumowanie

Przedstawiony przypadek jest typowym przykładem zastosowania PET/TK ze znacznikiem F-FDG w diagnostyce zespołu Takayasu.

Badanie PET/TK z F-FDG może umożliwić zdiagnozowanie zespołu Takayasu i ocenić chorobę w jej fazie aktywnej. Ponadto skanowanie całego ciała może również pozwolić na określenie obszaru zmian chorobowych, stanowić podstawę do ustalenia lokalizacji biopsji tętnicy oraz zapewnić monitorowanie odpowiedzi organizmu pacjentki na leczenie. Może też umożliwić jakościowe rozpoznanie zwiększonego metabolizmu w miejscu dotkniętym chorobą. Półilościowy wskaźnik maksymalnego standardowego wychwytu SUVmax jest przydatniejszy od wskaźników surowicy krwi, takich jak ESR i CRP, w czułym i swoistym wykrywaniu zespołu Takayasu, co może zwiększyć dokładność diagnostyczną.